
Tech's Brain Effect: It's Complicated
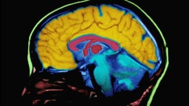
We don't yet know what the immersion in technology does to our brains, but one neuroscientist says the answer is likely to be that there's good, there's bad, and it's complex.

We don't yet know what the immersion in technology does to our brains, but one neuroscientist says the answer is likely to be that there's good, there's bad, and it's complex.

As automated delivery ramps up, cities must decide how to make the best use of public spaces

The lack of security built into phone networks leaves callers vulnerable to snooping, but the growth of encrypted communications will help protect privacy

It's a malware-eat-malware world

Researchers built a small, flexible device that harvests wi-fi, bluetooth and cellular signals, and turns them into DC electricity. Christopher Intagliata reports.

New 2-D electronic technology may reap radio energy to power an array of devices such as hearing aids, sensors and other gadgets that make up the Internet of Things

A rigorous new paper uses a new scientific approach that shows the panic over teen screen time is likely overstated

Quadcopters with thermal imagery cameras can help detect vicious mini-mines that often kill or maim children

Apple adopted them early and brilliantly, and they usually made sense

Researchers are developing wristbands and apps to predict moods—but the technology has pitfalls as well as promise

When Americans go to the polls, will hackers unleash chaos?

When Americans go to the polls, will hackers unleash chaos?

Companies claim e-cigarettes can deliver nutrients, but experts say the science looks shaky

Physicists say this futuristic, super-secure network could be useful long before it reaches technological maturity

More than two million internet respondents pondered dilemmas to consider in letting vehicles make moral choices

Evidence behind a digital tech intervention remains scant

The president plans to send a test message in a system that would notify Americans of an imminent attack or other catastrophe

Arthur Ashkin, Gérard Mourou and Donna Strickland shared the Nobel Prize for finding ways to control and enhance laser light, leading to numerous common applications.

Artificial intelligence is making it possible for anyone to manipulate audio and video. The biggest threat is that we stop trusting anything at all
Support science journalism.

Thanks for reading Scientific American. Knowledge awaits.
Already a subscriber? Sign in.
Thanks for reading Scientific American. Create your free account or Sign in to continue.
Create Account